搜索

产品中心

Product Center

产品分类

AB-PAS

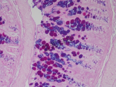
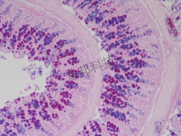
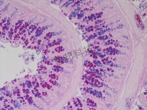
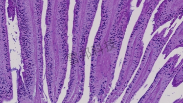
是较为常用的一种粘液染色方法,此方法的特点是通过使用两种不同粘液物质染色的染料分别显示不同的粘液物质于同一组织切片。
产品描述