搜索

产品中心

Product Center

产品分类

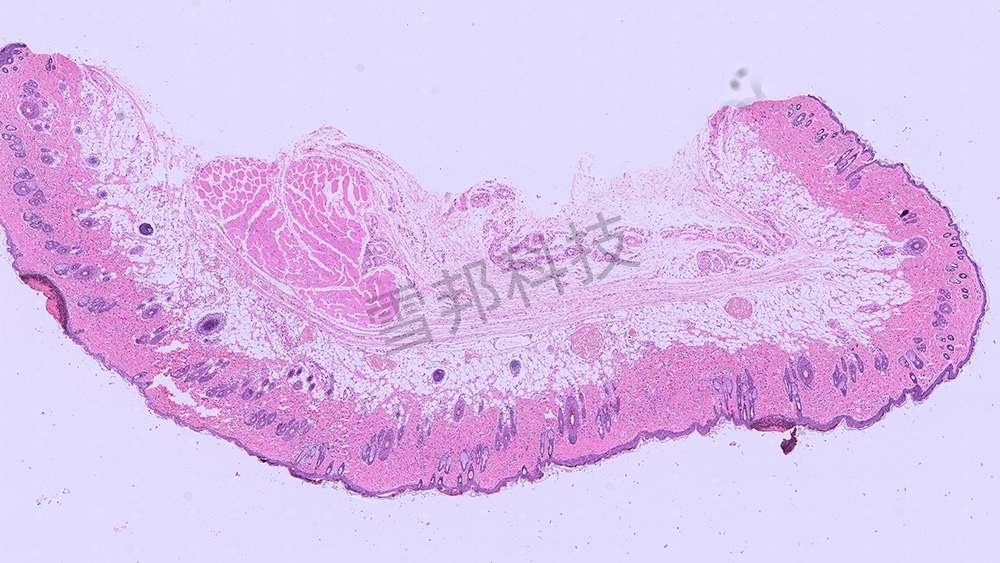
HE染色

苏木精(hematoxylin)和伊红(eosin)染色,简称HE染色,是组织学、病理学应用广泛的基本染色方法,又称常规染色。HE染色主要用于各种组织、细胞和病变的一般形态结构,进行全面观察,故对于病理诊断、教学与科研都具有重要的价值。
产品描述

上一个
下一个