搜索

产品中心

Product Center

产品分类

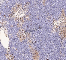
Tunel (DAB)

晚期凋亡细胞中染色体DNA双链或单链断裂产生粘性3'-OH末端,在脱氧核糖核苷酸末端转移酶(TdT)的催化下,将带有生物素(Biotin)分子的dUTP,标记到DNA的3'-末端,随后和辣根过氧化物酶(HRP)标记的链酶亲和素Streptavidin (Streptavidin-HRP)结合,后通过DAB显色来显示凋亡细胞。
产品描述